Хирурги Новгородской областной больницы прооперировали пациентку с гигантской грыжей
70-летняя жительница города Холм перенесла операцию по удалению гигантской послеоперационной грыжи, объем которой достигал 41% брюшной полости.
27 апреля, 2026, 15:24 1
Источник:
70-летняя жительница города Холм уже не в первый раз столкнулась с грыжей. Ранее ей удаляли пупочную грыжу, затем — рецидив послеоперационной грыжи. Спустя время грыжа появилась снова и увеличилась до значительных размеров.
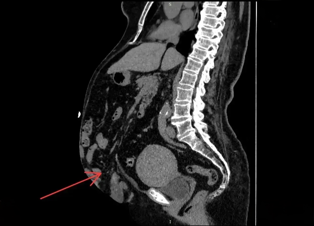
Женщина долго откладывала повторное вмешательство, но когда неприятные ощущения стали невыносимыми, она обратилась в приемный покой Новгородской областной клинической больницы. Компьютерная томография выявила, что грыжа составляет 41% объема брюшной полости — такое состояние называют потерей домена.
– В год мы оперируем до 40 пациентов с послеоперационными грыжами, из них гигантские встречаются у одного – двух человек. Для хирурга это не самая простая операция, требуется опыт, отличное знание процедуры. Кроме того, нужна тщательная предоперационная подготовка, чтобы подобрать нужный вид оперативного вмешательства, – пояснил Вячеслав Смирнов, врач-хирург, заместитель главного врача Новгородской областной клинической больницы по хирургической работе.
Хирурги приняли решение провести ненатяжную пластику с полной реконструкцией брюшной стенки. Такой современный подход позволяет уменьшить риск осложнений и сократить время операции.
– Пациентка перенесла все благополучно, выписана домой. Не прошло и месяца после операции, а она ведет активную жизнь, – подчеркнул Вячеслав Смирнов.
Сейчас пациентка находится под наблюдением врача в Холме, посещает перевязки. Дополнительно хирург дистанционно контролирует ее состояние с помощью телемедицинских консультаций в мессенджере МАХ.
Читайте также
















